Logotype
Ukrainian Orthopedic Company
Наши услуги!
Увеличение роста
Исправление некрасивых ног
Лечение диспропорции ног
у детей и взрослых
Переломы
Наши пациенты
Как нас найти
Статьи
Реквизиты
Форум
Методы лечения
Главный хирург
Отзывы пациентов
О нашей клинике
Для родителей
Ортопедическая косметология - красота Ваших ног!
Наши пациенты
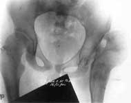
1.Врожденный вывих левого бедра.
2.Операция Шанца-Илизарова с одновременным удлинением бедра.
3.Демонтаж аппарата Илизарова.
4.Результат лечения.
5.Результат лечения.

Вы заинтересовались нашей работой и услугами?-Пожалуйста пишите нам.
Вопросы? Предложения?
- ladisten@carrier.kiev.ua